Skip to content

When Waiting Too Long to Remove Wisdom Teeth Leads to Bigger Problems

Many patients assume that if their wisdom teeth are not causing pain, they can safely leave them alone.

But wisdom teeth problems do not always make themselves known right away.

Dr. John Wessel, an oral surgeon in Rock Hill, SC, recently treated a patient whose experience clearly illustrates why oral surgeons often recommend evaluating wisdom teeth during the teenage years, even when they are not actively hurting.

A Real Example of What Happens When Wisdom Teeth Are Left Too Long

Dr. Wessel’s patient was a 40-year-old male who had been advised as a teenager to remove his wisdom teeth. At the time, they were not bothering him, so he chose to leave them in place.

For many years, everything seemed fine with no pain or swelling. However, the damage had quietly progressed.

One lower wisdom tooth had tipped forward at nearly a 45-degree angle, wedging itself beneath the adjacent second molar. From another angle, the tooth appeared even more severely angled, closer to 60-80 degrees.

This positioning created an area that was extremely difficult to clean. Over time, it led to:

  • Chronic food trapping
  • Progressive decay
  • A deep cavity on the back of the second molar

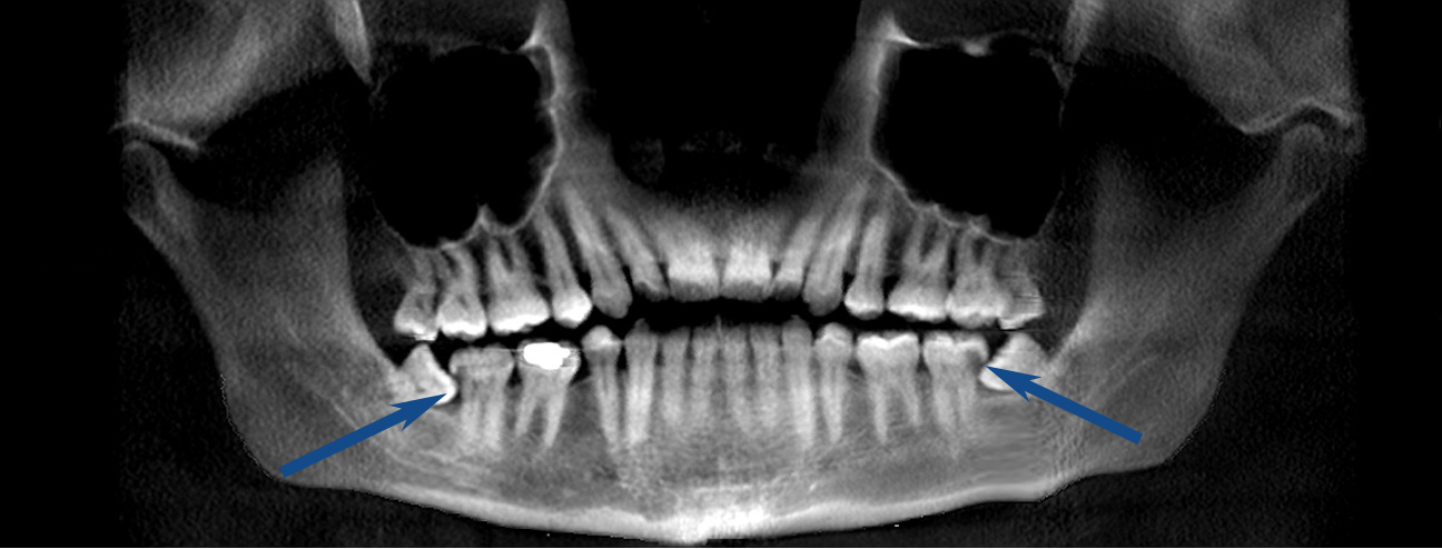
Eventually, the decay extended to the root surface of the second molar, as shown in the X-ray below.

Once decay reaches the root surface, the tooth often cannot be restored with a filling or crown. As a result, both the wisdom tooth and the otherwise healthy second molar had to be removed.

The Most Concerning Part: He Never Felt Pain

What makes this case particularly important is that the patient initially had no symptoms: no discomfort, infection, or obvious warning signs of problems.

Two years after losing the first wisdom tooth and molar, he returned with the same problem on the opposite side. Despite earlier intervention, the decay had progressed there as well. He then required removal of the lower wisdom tooth and the adjacent second molar on that side.

Wisdom Teeth Removal Xray

“Wisdom teeth often do not cause pain until the damage is advanced,” explains Dr. Wessel. “By the time patients notice something is wrong, the neighboring tooth may already be compromised.”

Do You Have to Get Your Wisdom Teeth Removed?

One of the most common questions patients ask is if wisdom teeth always need to be removed, and the answer is no.
Some wisdom teeth erupt normally, align properly with other teeth, and can be cleaned effectively with regular brushing and flossing. In these cases, removal may not be necessary.

However, many wisdom teeth become impacted, meaning they do not have enough space to erupt properly, or they grow at an angle toward nearby teeth.
Oral surgeons often recommend removal when wisdom teeth:

  • Are impacted or partially erupted
  • Grow at an angle toward neighboring molars
  • Create areas that trap bacteria or food
  • Show early signs of decay or gum disease
  • Increase the risk of damage to nearby teeth

Even when wisdom teeth are not painful, they can still create problems over time. Because they sit at the very back of the mouth, they are often difficult to brush, floss, and monitor effectively.

A consultation with an oral surgeon, including panoramic imaging, allows us to evaluate whether wisdom teeth can safely remain in place or if preventive removal is the best option.

When Should Wisdom Teeth Be Removed?

Wisdom teeth are typically evaluated during the mid to late teenage years, often between ages 16 and 19.

At this stage, several factors make removal easier and recovery smoother:

  • The roots are still developing
  • The surrounding bone is more flexible
  • Surgical access is often easier
  • Healing tends to be faster

“Removing a wisdom tooth at 16 is very different from removing one at 40,” says Dr. Wessel. “The procedure is typically more straightforward, recovery is smoother, and we can prevent damage before it begins.”

Early evaluation also allows oral surgeons to determine whether wisdom teeth are likely to create problems such as:

  • Cavities on second molars
  • Gum infections around partially erupted teeth
  • Root damage to neighboring teeth
  • Bone loss behind the molars
  • Cysts forming around impacted teeth

Removing wisdom teeth before these complications develop helps protect surrounding teeth and often prevents more complex treatment later. For many patients, removing wisdom teeth during the late teenage years is a preventive step that protects the long-term health of the rest of the mouth.

How Waiting to Remove Wisdom Teeth Can Lead to Bigger Problems

Not every patient who delays wisdom teeth removal will experience complications. However, when problems do develop, they can be significant.
Potential consequences include:

Loss of Functional Molars

Second molars play an important role in chewing and maintaining a healthy bite. Losing one may require additional restorative treatment.

More Complex Surgical Care

As we age, bone becomes denser and wisdom tooth roots become fully developed. This can make surgical removal more technically demanding.

Increased Long Term Treatment Needs

What might have started as a preventive extraction can progress to multiple extractions, bone grafting, or even dental implant placement.

If Your Wisdom Teeth Are Not Hurting, Should You Still Be Evaluated?

This is another question we hear frequently. Pain alone is not a reliable indicator of wisdom tooth problems.

The decision to remove wisdom teeth depends on their position, angulation, and the health of the surrounding teeth.

Routine evaluation with panoramic imaging allows an experienced oral surgeon to determine whether wisdom teeth are likely to cause future problems or can be safely monitored.

Early evaluation gives patients more options. Waiting often limits them.

Wisdom Teeth Care in Rock Hill and the Greater Charlotte Area

At Carolinas Center for Oral and Facial Surgery, wisdom teeth removal is one of the most commonly performed procedures by our board-certified oral surgeons. Each year, our team evaluates thousands of patients to determine the safest and most appropriate timing for wisdom tooth removal. With advanced training in oral surgery and anesthesia, our surgeons prioritize your safety, comfort, and a smooth recovery throughout every step of treatment.

With more than 20 locations across the Carolinas and nine offices throughout the greater Charlotte area, Carolinas Center for Oral and Facial Surgery is widely recognized for providing expert wisdom teeth care. Our experienced surgeons use advanced technology and proven surgical techniques to deliver exceptional outcomes for patients across the region.

If you or your teen has been advised to consider wisdom teeth removal in the Rock Hill area, scheduling a consultation with an experienced oral surgeon like Dr. Wessel can provide the clarity and guidance needed to make the right decision for your long-term oral health.

If you have questions about wisdom teeth or would like to schedule a consultation, our team is here to help guide you through the process.

Specialized Oral Surgery Near You

Receive advanced, personalized care from our board-certified oral and maxillofacial surgeons at a location convenient for you. No referral required.