Envision Full Mouth Reconstruction
Full mouth reconstruction offers a powerful opportunity to renew your oral health from the foundation up.
Our specialized team of dental experts address every part of your mouth, from teeth and gums to bite alignment, to comprehensively restore function, comfort, and aesthetics for a healthier mouth.
Restore More Than Just Your Smile
With Envision full mouth reconstruction, we combine specialized restorative and surgical care to completely rebuild your smile and overall oral health.
We aim to correct complex dental situations using an array of treatments including dental implants, porcelain veneers, periodontal treatments and gum therapy, and even Invisalign® clear aligners.
You’ll gain a fresh sense of control over your health, where your smile works as well as it looks, and your daily life feels easier and more enjoyable because of it.

Sarah’s Life-Changing Journey with Envision
Living with a cleft lip meant Sarah Catherine faced obstacles most people never think about, from how she spoke to how she felt about herself.
Envision Dental Implants gave her more than a new smile—it gave her back the confidence that had been missing for so long.
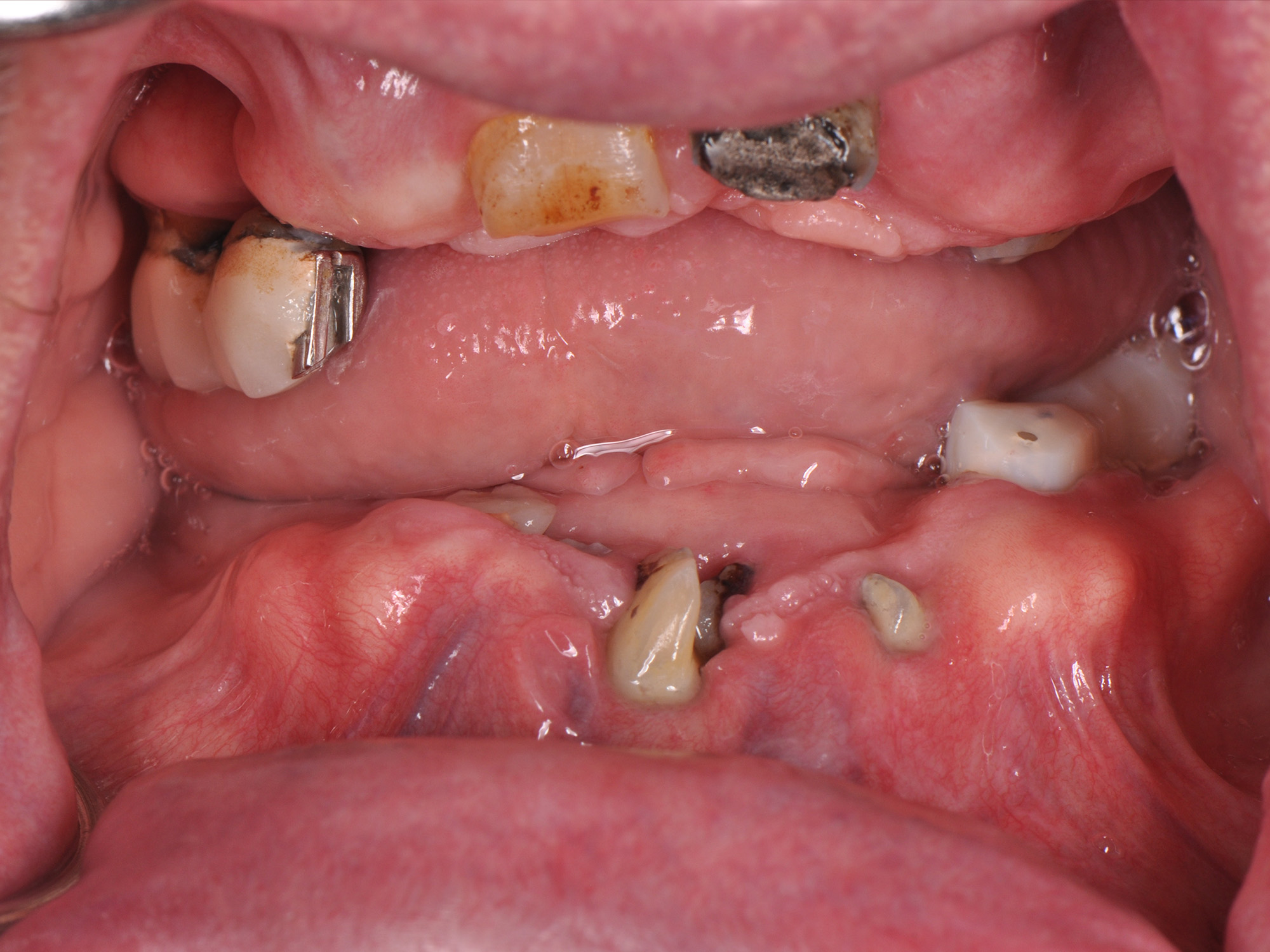
Who Needs Full Mouth Reconstruction?
There are many reasons you may need a comprehensive solution for restoring your oral health and function.
- Chronic dental issues such as advanced tooth decay, gum disease, or worn enamel
- Tooth loss from injury or medical conditions like osteoporosis
- Severe bite problems, TMJ disorders, or jaw pain
- Cosmetic dental concerns that impact self-esteem and social confidence
- Past dental work that has failed or become outdated
If you’re tired of struggling with missing teeth, complex dental issues, and seemingly never-ending fixes, full mouth reconstruction is the total transformation you’ve been looking for.
Your Journey to Better Health
Full mouth reconstruction, also known as full mouth rehabilitation or restoration, is a personalized journey to restoring all of the teeth in both your upper and lower arches along with the overall health of your mouth.
Our prosthodontist-led teams look beyond the surface to evaluate facial balance, jaw movement, gum health, and tooth structure.
Together with our world-class oral and maxillofacial surgeons, anesthesiologists, and periodontist, they blend science and artistry to deliver functional, beautiful, and empowering smiles.
Full Mouth Reconstruction Can Include:
- Fixed full arch dental implants, implant dentures, or single implants to replace missing teeth
- Custom prosthetic teeth or dental veneers for a natural, aesthetic finish
- Invisalign® aligners for bite correction
- Bone grafting for strength and stability
- Periodontal treatment for gum health
A Team That Sees the Whole You
We don’t just look at X-rays and the condition of your teeth. We take the time to understand your story: your lifestyle, your health history, your goals, and even your fears about dentistry.
Your Envision team includes specialists in prosthodontics, cosmetic dentistry, periodontics, and oral surgery, all collaborating to ensure your reconstruction is comprehensive, seamless, and successful.
We’ve got you covered with one cohesive, specialized team under one roof.
Our patient-first approach combines genuine care, unmatched expertise, and advanced technology to help you smile and live life to the fullest.
Every treatment plan is developed using cutting-edge diagnostic tools, including 3D CBCT scans, digital impressions, and advanced facial analysis. We use only the highest-quality restorative materials available to ensure your results aren’t just beautiful—they’re functional, long-lasting, and designed uniquely for you.

Expert-Guided Care, From Start to Finish
Personalized Consultation & Treatment Planning
Your journey begins with a one-on-one consultation led by a prosthodontist, a dental specialist in full mouth restoration. Using advanced imaging and a detailed clinical exam, your prosthodontist will assess your oral health, listen to your goals, and map out a fully customized treatment plan. Every detail is considered, from bite alignment and bone health to aesthetics and function, so your reconstruction is built on a strong, lasting foundation.
Step-by-Step Reconstruction
Whether your care involves dental implants, bone grafting, veneers, Invisalign, or periodontal therapy, our team of specialists delivers each step with precision and care. We treat you like family and guide you through the sequence of treatments, keeping you full informed and comfortable every step of the way.
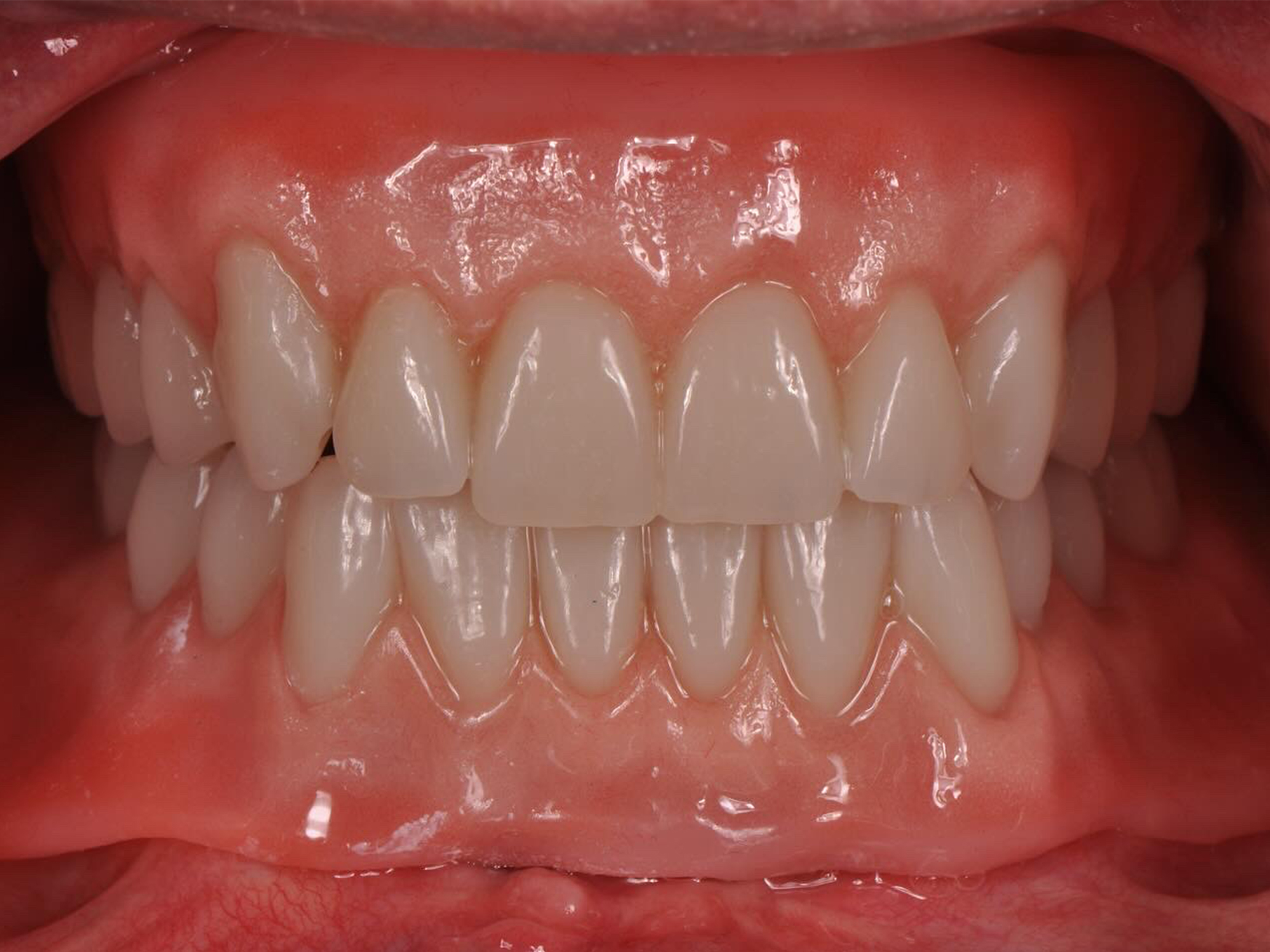
Life-Changing Results
Your full mouth reconstruction won’t just fix your teeth, it will give you the freedom to live fully again. Enjoy your favorite foods without hesitation, speak clearly and confidently, smile without holding back, and feel like yourself again every single day.
Expertise That’s Far Beyond Standard
When it comes to full arch restoration, you want a prosthodontist leading the charge.
With decades of combined experience and thousands of successful smile outcomes, our team of prosthodontists strategically orchestrates care alongside our skilled oral and maxillofacial surgeons, anesthesiologists, and CRNAs, ensuring every phase of your treatment is integrated, collaborative, and designed around your final result.
